22.12.18
Меланома наружных половых органов
Меланома полового члена...
Многообещающие результаты на первом этапе испытаний17.12.18
Трансплевральная резекция пищевода
г.Обнинск15.12.18
ФОТО ДНЯ
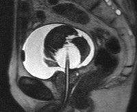
Сверток крови в мочевом пузыре
В России во второй раз прошла Европейская неделя ранней диагностики патологии органов головы и шеи. 11.12.18
"Актуальные вопросы онкоморфологии"
Российский научно-практическоий семинар
всегда требует более агрессивного подхода, нежели поверхностный рак
ПАМЯТКА05.12.18
Лабораторные исследования
при опухоли почки03.12.18
ВОЙНО-ЯСИНЕЦКИЙ Валентин Феликсович
Архиепи́скоп Лука́02.12.18
Мир запасается гамма-ножами
Лучевая терапия это процедура, влекущая за собой точную доставку высоких доз радиации в опухоли. В радиохирургии гамма-нож является основной формой лучевой терапии.01.12.18
Стеноз гортани
Проявления стеноза гортани делятся на четыре стадии:
В последние годы расширились показания к выполнению расширенных циторедуктивных хирургических вмешательств при запущенном раке яичников.28.11.18
Опухоль почки
Основные симптомы27.11.18
О раке ПОЧКИ
распространенность рака почки