25.11.14
Колоректальный рак и полипы
Врачи предполагают, что ...23.11.14
Что такое почки ?
И зачем они нужны ?22.11.14
Факторы риска
ОПУХОЛЬ ПОЧКИ19.11.14
Тема ДНЯ
Гидронефроз III стадии18.11.14
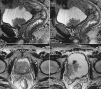
ФОТО дня
МРТ картина опухоли мочевого пузыря17.11.14
ЛИТЕРАТУРА для КОЛЛЕГ
Расширенная латеральная диссекция при ЭМТ12.11.14
Работа в 26 городской больнице
Местно-распространенный рак правого яичника07.11.14
Сегодня выездная работа
В клинику Военно-морской хирургии07.10.14
II Всероссийская научно-практическая конференция «ЭНДОСКОПИЧЕСКИЕ ТЕХНОЛОГИИ В ОНКОГИНЕКОЛОГИИ»
г. Москва, 11-12 ноября 2014 г.
Дата проведения: 25-27 ноября 2014 г.
Местом проведения конференции выбран город Рязань. Мероприятие пройдёт на территории ГБУ РО «Областная клиническая больница».25.09.14
«Актуальные вопросы урологии и гинекологии» с симпозиумами по онкоурологии и онкогинекологии
Главным врачам, заведующим отделениями, заведующим кафедрами урологии, гинекологии, онкоурологии, онкогинекологии, инфекционных болезней, дерматовенерологии, руководителям государственных и частных медицинских организаций г. Санкт-Петербурга
состоится 24 сентября 2014 года, среда, 170023.09.14
Что спростить у доктора
при РАКЕ ПОЧКИ22.09.14
Наблюдение при колоректальном раке
ПОСЛЕ ЛЕЧЕНИЯ