+7 (921) 951-7-951
·
dr.igor.kostyuk@mail.ru
Костюк Игорь Петрович
Хирург · Онколог
Обо мне
Как я лечу
▾
Что я лечу
▾
Лечение ожирения
▾
ОМС
Отзывы пациентов
▾
Онлайн
Контакты
Задать вопрос
☰
Обо мне
Как я лечу
Что я лечу
Лечение ожирения
Бесплатное лечение по ОМС
Отзывы пациентов
Онлайн-консультация
Контакты
Главная
Новости сайта
Новость
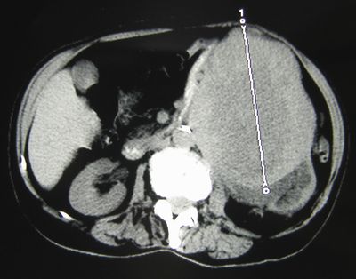
Фотография дня.
Все новости
03.02.19
Опухоль левой почки больших размеров
.
Поделиться ссылкой:
Главная
Новости сайта
Новость
Мы используем cookies
Посещая сайт www.kostyuk.ru, вы даете свое согласие на использование файлов cookie.
Это необходимо для нормального функционирования сайта и для соблюдения требований 152-ФЗ "О персональных данных"
ОК
Подробнее