01.08.22
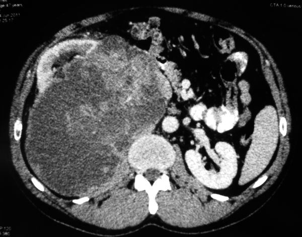
Бессимптомно растущие опухоли почек могут достигать гигантских размеров. Здесь и по ссылке такой случай. Схема на приложенном рисунке.
Бессимптомно растущие опухоли почек могут достигать гигантских размеров. Здесь и по ссылке такой случай. Схема на приложенном рисунке.