КАТЕТЕРЫ
Катетером называют трубку, вводимую в мочевыводящие пути человека с целью их дренирования или получения мочи для диагностических исследований, введения лечебных или контрастных препаратов, определения остаточной мочи в мочевом пузыре. Катетеры могут быть предназначены для дренирования мочевого пузыря (уретральные) и для дренирования ВМП (уретеральные или мочеточниковые).
Различают эластичные и ригидные уретральные катетеры. Эластичные обычно изготовлены из пластика или силикона, они могут содержать напыление, препятствующее бактериальной адгезии. Силиконовые катетеры предпочтительней для длительной катетеризации, поскольку имеют больший внутренний диаметр, чем пластиковые. Эластичные катетеры менее травматичны. Ригидные катетеры чаще металлические, прямые (женские) и изогнутые (мужские). В современной урологии применяют различные виды эластичных уретральных катетеров: Нелатона (аналог катетера Робинсона), Тиманна, Пеццера, Фолея, Малеко. Все катетеры имеют разный размер, для определения которого чаще всего используют шкалу Шаррьера (CH), которая содержит номера от 1 до 30, при этом каждая единица составляет 0,33 мм диаметра, что соответствует длине окружности в миллиметрах. Например, катетер 30 CH имеет диаметр примерно 10 мм, а длину окружности — 30 мм.


Уретральные катетеры. 1 — Нелатона (Робинсона); 2 — Тиманна; 3 — трёхходовой катетер Фолея; 4 — двухходовой катетер Фолея; 5 — Пеццера.
Катетер Нелатона — прямой инструмент, используемый для кратковременной катетеризации, определения остаточной мочи или введения в мочевой пузырь различных препаратов (инстилляция). Кончик катетера закруглён, имеет одно или два боковых отверстия. При длительном дренировании мочевого пузыря катетер фиксируют к головке полового члена лигатурами по типу «корзинки», либо подшивают к уздечке.
Катетер Фолея также прямой, диаметром 12–30 CH, имеет баллончик ёмкостью 5–70 мл, расположенный у верхушки инструмента, с помощью которого катетер удерживается в мочевом пузыре. Кончик катетера может иметь разную длину. Баллончик катетера Фолея ёмкостью 30–70 мл может быть использован в гемостатических целях (для остановки кровотечения из ложа удалённой аденомы простаты). В двухканальном варианте один канал используют для отведения мочи, другой — для наполнения баллона. Для осуществления постоянной ирригации мочевого пузыря после трансурертальной резекции (ТУР) простаты и при выраженной гематурии применяют трёхканальные варианты. Катетер Тиманна имеет более ригидный изогнутый кончик, позволяющий преодолевать препятствия в мочеиспускательном канале, обусловленные спазмом поперечно-полосатого сфинктера, стриктурой мочеиспускательного канала, большой аденомой, раком простаты. Некоторые изогнутые катетеры имеют фиксирующий баллон. Катетер Пеццера в настоящее время чаще всего используют в качестве цистостомического дренажа. Конец катетера представляет собой грибовидное расширение с памятью формы, расправляющееся при установлении в мочевой пузырь. Для предотвращения миграции катетер фиксируют пластырем или лигатурами к коже передней брюшной стенки. Катетер Малеко подобен катетеру Пеццера, но отличается более широкими дренажными отверстиями.
При сложностях катетеризации иногда используют металлические проводники, которым можно придать различную степень кривизны. В редких случаях (при стриктурах мочеиспускательного канала) изначально проводят гибкую струну-проводник, по которой в мочевой пузырь проводят катетер с открытым концом.
ТЕХНИКА КАТЕТЕРИЗАЦИИ МОЧЕВОГО ПУЗЫРЯ У МУЖЧИН
Техника введения катетера в мочевой пузырь мужчинам сложнее, чем женщинам. В положении больного на спине с чуть согнутыми ногами головку полового члена захватывают средним и безымянным пальцами левой руки по венечной борозде с боков (не сдавливая уретру) и несколько натягивают кпереди так, чтобы расправилась складчатость слизистой оболочки мочеиспускательного канала. При этом указательным и большим пальцами той же руки слегка раздвигают наружное отверстие мочеиспускательного канала. После антисептической обработки наружного отверстия мочеиспускательного канала и головки полового члена по мочеиспускательному каналу можно ввести 10 мл геля-любриканта, содержащего 1–2% лидокаина (катеджель♠, инстиллагель♠, лидохлор♠). Для лучшего обезболивания используют экспозицию геля в мочеиспускательном канале в течение 5–10 мин. Затем катетер, обильно смазанный стерильным вазелиновым маслом или линиментом синтомицина, правой рукой проводят по мочеиспускательному каналу, перехватывая его стерильным пинцетом. Критерием правильной катетеризации служит появление мочи по катетеру. Отсутствие выделения мочи по катетеру служит противопоказанием к наполнению баллона катетера, поскольку это может привести к повреждению и даже разрыву простатического или иного отдела мочеиспускательного канала. В случае выраженного спазма поперечно-полосатого сфинктера увеличивают количество вводимого геля-любриканта и время экспозиции, проводят катетер на глубоком вдохе. В редких случаях необходимо введение седативных средств. При трудностях, обусловленных стриктурой мочеиспускательного канала, катетеризацию проводят без чрезмерных усилий, поскольку это может привести к перфорации мочеиспускательного канала. Для диагностики стриктуры мочеиспускательного канала применяют ретроградную уретрографию, при подтверждении протяжённого сужения целесообразнее отведение мочи методом пункционной цистостомии.
Техника введения металлического катетера у мужчин еще более сложна и требует определённого навыка и большой осторожности. Обработав наружное отверстие мочеиспускательного канала и приподняв пальцами левой руки головку полового члена вверх, натягивают его параллельно паховой складке. Правой рукой по мочеиспускательному каналу «клювом» вниз вводят инструмент до наружного сфинктера мочевого пузыря, где встречается препятствие. Затем половой член вместе с катетером переводят к средней линии живота под тем же углом к передней брюшной стенке (почти горизонтально) и начинают медленно опускать наружный конец (павильон) инструмента, продолжая вводить глубже его внутренний конец и натягивая уретру на него. Преодолев лёгкое сопротивление, катетер проходит по заднему отделу мочеиспускательного канала в мочевой пузырь. Павильон катетера оказывается между ног больного, возможность свободно поворачивать инструмент по его продольной оси — доказательство нахождения его внутреннего конца в мочевом пузыре. Другим подтверждением этого служит выделение по катетеру мочи. Насильственное проведение металлического инструмента в мочевой пузырь крайне опасно ввиду возможности перфорации мочеиспускательного канала или шейки мочевого пузыря. Опасность подобного осложнения особенно велика при наличии препятствия по ходу мочеиспускательного канала и шейки мочевого пузыря (аденома и рак простаты, стриктура мочеиспускательного канала). В связи с травматическими и воспалительными осложнениями показания к катетеризации мочевого пузыря у мужчин металлическими катетерами должны быть предельно сужены.
ТЕХНИКА КАТЕТЕРИЗАЦИИ У ЖЕНЩИН И ДЕТЕЙ
Катетеризация у женщин достаточно проста. В положении пациентки на спине со слегка согнутыми и разведёнными ногами после обработки наружных половых органов указательным и большим пальцем левой руки разводят большие половые губы. После обнаружения наружного отверстия мочеиспускательного канала обильно смазанный катетер проводят по мочеиспускательному каналу. Критерий правильной установки — выделение мочи по катетеру. Если наружное отверстие мочеиспускательного канала не удалось обнаружить, то следует ввести палец во влагалище и отвести заднюю стенку книзу. Техника катетеризация у девочек аналогична таковой у взрослых, при этом используют катетеры 8–12 CH. У мальчиков наиболее часто используют катетер 8 CH.
КАТЕТЕРИЗАЦИЯ МОЧЕВОГО ПУЗЫРЯ И МОЧЕТОЧНИКОВ
Показания
Различают диагностические и лечебные катетеризации. Диагностическую катетеризацию мочевого пузыря применяют в случаях, когда другими методами невозможно установить наличие мочи в мочевом пузыре. Одностороннюю диагностическую катетеризацию ВМП производят при выполнении ретроградной пиелографии для установления уровня препятствия в мочеточнике, определения симптома Шевассю.
Двустороннюю диагностическую катетеризацию применяют для раздельного сбора мочи из почек при билатеральном поражении, для определения стороны операции, дифференциальной диагностики анурии (ренальной и постренальной).
Лечебная катетеризация — один из методов дренирования мочевыводящих путей, который широко применяют в современной урологии. Дренирование мочевого пузыря используют при обструктивных заболеваниях, таких как аденома, рак простаты, приводящих к острой или хронической задержке мочеиспускания (ишурии).
При обструкции ВМП один из способов дренирования — катетеризация. Её применяют чаще для предотвращения возникновения или развития острого обструктивного пиелонефрита. Проведя мочеточниковый катетер выше препятствия и восстановив таким образом пассаж мочи, можно начинать лечение инфекционно-воспалительного процесса. Кроме того, необходимо помнить, что катетеризация мочеточника выше препятствия — эффективный способ лечения почечной колики, не купированной лекарственными и физическими методами. После того как отток мочи восстановлен, гидростатическое давление в лоханке снижается, колика обычно заканчивается.
При больших гинекологических операциях сложные патологически изменённые топографо-анатомические взаимоотношения органов малого таза и нижних отделов мочеточников, а также мочевого пузыря служат причиной повреждения последних, что нередко возникает даже у опытных хирургов. Опасность повреждения мочеточников при расширенных оперативных пособиях на органах малого таза делает крайне целесообразной двустороннюю катетеризацию мочеточников перед операцией. Плотные мочеточниковые катетеры хорошо определяются при пальпации через стенку мочеточников, они служат достаточно чётким ориентиром, позволяющим хирургу избежать их повреждения.
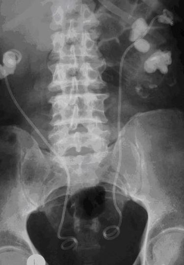
Для длительного дренирования ВМП используют специальный мочеточниковый катетер-стент с двумя завитками. Верхний завиток устанавливают в лоханке, а нижний — в мочевом пузыре; таким образом, катетер не смещается при изменении больным положения тела и практически не препятствует ему вести активный образ жизни (рис. 6-2). С помощью таких катетеров-стентов можно дренировать мочевыводящие пути человека до 12 мес.


Обзорная рентгенограмма органов мочевой системы. Мочеточниковые стенты дренируют верхние мочевыводящие пути с обеих сторон при двусторонних коралловидных камнях.
Применяют также уретральные катетеры-стенты. Острая задержка мочеиспускания возникает у больных пожилого возраста и чаще всего обусловлена аденомой или раком простаты. Нередко интеркуррентный фон пациента не позволяет прибегнуть к радикальному оперативному вмешательству. Единственный способ отведения мочи в этом случае — цистостомия. Однако наличие цистостомы существенно снижает качество жизни больного. В последнее время с разработкой новых синтетических материалов появилась возможность изготовить уретральный стент, который, будучи установленным в простатический отдел мочеиспускательного канала, позволяет восстановить мочеиспускание. Существуют рассасывающиеся стенты, которые самопроизвольно разрушаются по прошествии 4–6 мес, и постоянные, изготовленные чаще всего из нитинола, которые можно устанавливать на всю жизнь.
