02.06.18
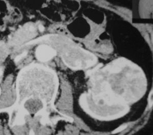
У пациентки 64 лет удалили левую почку, пораженную опухолью. Опухолевый тромб полностью заполнял почечную вену и выходил в нижнюю полую вену.
Очень нечастый клиничеcкий случай.
С целью удаления тромба была вскрыта почечная вена у места впадения в нижнюю полую вену, проведено извлечение тромба с последующим ушиванием венозной стенки.

ушивание нижней полой вены


