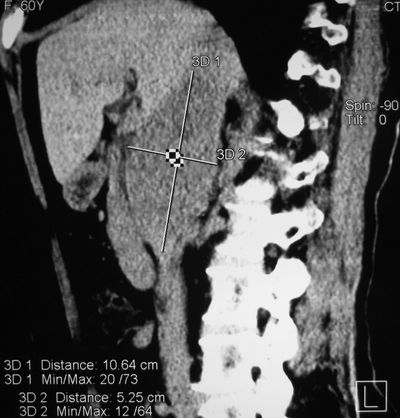
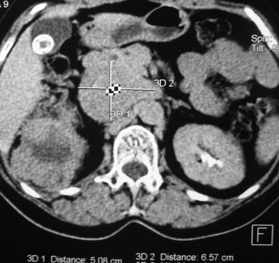
Опухолевый тромб в нижней полой вене

Компьютерная томограмма
Компьютерная томограмма
 

 

 

Компьютерная томограмма
Компьютерная томограмма

 

Мобилизованная вена с тромбом
Мобилизованная вена с тромбом

 

Удаленный тромб
Удаленный тромб

 

Ушитая нижняя полая вена после удаления тромба
Ушитая нижняя полая вена после удаления тромба

ЗАПИСЬ  НА  КОНСУЛЬТАЦИЮ по телефону +7 (921) 951 - 7 - 951

Поделиться ссылкой: