+7 (921) 951-7-951
·
dr.igor.kostyuk@mail.ru
Костюк Игорь Петрович
Хирург · Онколог
Обо мне
Как я лечу
▾
Что я лечу
▾
Лечение ожирения
▾
ОМС
Отзывы пациентов
▾
Онлайн
Контакты
Задать вопрос
☰
Обо мне
Как я лечу
Что я лечу
Лечение ожирения
Бесплатное лечение по ОМС
Отзывы пациентов
Онлайн-консультация
Контакты
Главная
Клинические наблюдения с описанием типичных
Гидронефроз III. Лапароскопическая нефрэктомия справа
Гидронефроз III. Лапароскопическая нефрэктомия справа
История онко-пациентки, отказавшейся от хирургического лечения
Гигантская опухоль молочной железы
Абсцесс почки
показать полный список
Лапароскопическая нефрэктомия при гидронефрозе III стадии
Комбинированная левосторонняя нефрэктомия с гемиколэктомией и удалением тромба из НПВ
Симультанная нефрэктомия и цистпростатэктомия
Заместительная пластика мочевого пузыря подвздошно-кишечным J-резервуаром
Опухоль правой почки, сдавливающая нижнюю полую вену
Рецидив рака верхних мочевых путей в неудаленном мочеточнике после нефрэктомии
Рецидив рака шейки матки с формированием комбинированного мочепузырно-влагалищно-прямокишечно-тонкокишечного свища
Рецидив рака слепой кишки
GIST гиганстких размеров
Простатсберегающая цистэктомия
Огромная опухоль правой почки
Трансуретральная резекция очень большой опухоли мочевого пузыря
Гидронефроз III. Лапароскопическая нефрэктомия справа
Лапароскопическая нефрэктомия
Комбинированная нефрадреналэктомия
Лучевой цистит с исходом в микроцистис (цистпростатэктомия)
Рак щеки. Микрохирургическая пластика после радикальной операции
Удаление рецидива рака левой почки в брюшную стенку
Рецидив рака мочевого пузыря_2
Гигантская опухоль правого яичника
Метастаз в забрюшинный лимфоузел
Предпузырная саркома
Саркома молочной железы
МЕГАДОЛИХОсигма
Санитарная мастэктомия по поводу распространенного рака молочной железы
Лечение липомы МАДЕЛУНГА
Лапароскопическая ГАСТРЭКТОМИЯ (удаление желудка)
Гигантская опухоль правой почки. Экстримальная нефрэктомия.
Фитобезоар ("камень из пищевого комка") в кишке
Опухолевый тромб в нижней полой вене
Симультанная лапароскопическая резекция почки и холецистэктомия
Рецидив рака мочевого пузыря
Восстановление мочевого пузыря после его удаления
Невус кожи груди
Первично множественный рак мочевого пузыря и почки
Рецидив МЕЛАНОМЫ кожи плеча. Результат лечения по методу ШЕВЧЕНКО
Саркома передней брюшной стенки
свернуть список
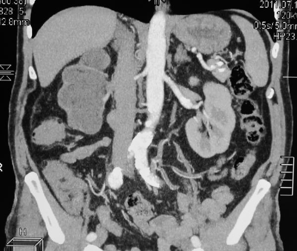
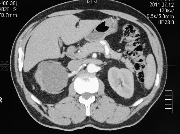
Гидронефротическая трансформация правой почки. Паренхима источнена. ее практически нет.
Удаленная почка.
ЗАПИСЬ НА КОНСУЛЬТАЦИЮ по телефону +7 (921) 951 - 7 - 951
Поделиться ссылкой:
Главная
Клинические наблюдения с описанием типичных
Гидронефроз III. Лапароскопическая нефрэктомия справа
Мы используем cookies
Посещая сайт www.kostyuk.ru, вы даете свое согласие на использование файлов cookie.
Это необходимо для нормального функционирования сайта и для соблюдения требований 152-ФЗ "О персональных данных"
ОК
Подробнее