Расширенная комбинированная нефрадреналэктомия слева с левосторонней гемиколоэктомией, корпорокуадальной резекцией поджелудочной железы, спленэктомией и резекцией левого купола диафрагмы.
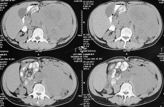
Опухоль левой почки
Опухоль левой почки

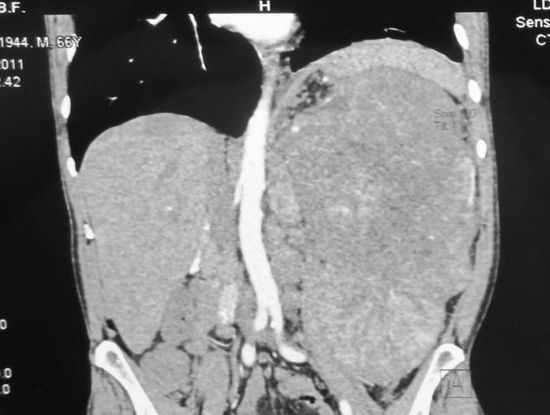
Опухоль левой почки, выпячивающая переднюю брюшную стенку

Опухоль левой почки, выпячивающая переднюю брюшную стенку

Опухоль левой почки, прорастающая брыжейку толстой кишки

Мобилизация ободочной кишки

Пересечение селезеночной артерии

Пересеченная поджелудочная железа

Мобилизация опухолевого конгломерата

Ушивание дефекта аорты

Полноценная лимфаденэктомия (скелетированы аорта, нижняя полая вена и подвздошные сосуды)

Формирование толстокишечного анастомоза после левосторонней гемиколэктомии

Сформированный толстокишечный анастомоз

Дивертикул Меккеля

После резекции дивертикула Меккеля

Удаленный опухолевый конгломерат

Удаленный опухолевый конгломерат

Удаленный опухолевый конгломерат

Операционная бригада

Оперировавший хирург
ЗАПИСЬ НА КОНСУЛЬТАЦИЮ по телефону +7 (921) 951 - 7 - 951
