Восстановление мочевого пузыря после его удаления

Пластическая реконструкция мочевого пузыря сегментом тонкой кишки (по меоду Штудера) после  цистэктомии по поводу рака.

Мочевой резервуар, анастомозированный с уретрой
Мочевой резервуар, анастомозированный с уретрой

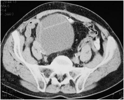
КТ через 6 месяцев (наполненный мочевой резервуар)
КТ через 6 месяцев (наполненный мочевой резервуар)

ЗАПИСЬ  НА  КОНСУЛЬТАЦИЮ по телефону +7 (921) 921 - 7 - 951

 

 

Поделиться ссылкой: